耳鳴是耳鼻喉科門診常見的疾病,由於病史詢問秏時、確定診斷不易且部份病患治療成效不彰,常使醫病雙方頓生無力沮喪感。耳鳴(tinnitus)一詞起源自拉丁文tinnire,有響鈴聲之意,主要意指病患感覺到頭部或耳部聽到聲音的感覺,但事實上外在並無聲音,由於只有病患自身聽得到,故又被認為是聽覺錯覺(auditory phantom perception)。

耳鳴盛行率約10%,於聽力障礙族群更高達80%,少數病患甚是覺得造成困擾,甚至和睡眠障礙、焦慮等問題互為因果。特別要提醒的是單邊耳鳴要視為危險耳鳴,必須接受相關聽力檢查以早期診察出不對稱聽力,另聽阻聽力檢測儀器之聽覺反射閾值測驗(acoustic reflex threshhold)、聽性腦幹反應檢查 (auditory brainstem response, ABR)可提供便捷、非侵入性之測試,提供相關資訊予臨床醫師考慮進一步排程核磁共振之必要性。只有核磁共振 (Magnetic Resonance Imaging) 檢查才能完全排除耳蝸後病變聽神經瘤之可能。早期診斷出聽神經瘤非常重要,可避免神經外科開腦手術而僅以伽碼刀即可控制病情。
►病例報告:
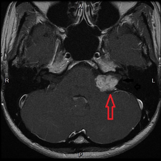
中年女性主訴左耳突發性聽障至本部就診,因左耳聽力完全喪失(圖一)則無聽性腦幹檢查之必要(一定無反應),直接排程核磁共振檢查可見左耳聽神經瘤(圖二)。聽覺反射閾值測驗(圖三)可見:Right Ipsi意謂同側耳右耳給音,右耳聽覺反射正常,可見波峰起伏);Right Contral意謂對側耳左耳給音,右耳聽覺反射消失,不見波峰起伏);Left Ipsi意謂同側耳左耳給音,左耳聽覺反射消失,不見波峰起伏);Left Contra意謂對側耳右耳給音,左耳聽覺反射正常,處可見波峰起伏)。
圖一:聽力圖。右耳正常,左耳聽力完全喪失。
►討論:
正常的聽覺反射路徑聲音由外耳→中耳→聽神經→足夠的音量則引起面神經之一分枝所控制之鐙骨肌收縮,此謂聽覺反射或鐙骨肌反射。聽覺反射發生在腦幹底部,由於正常人的反射是兩側性的,即單耳接受刺激音可引發兩側的反射反應,臨床上即利用此特性來考慮腦幹病變之可能。若病灶位於腦幹時,常造成對側聽覺反射無反應,但同側聽覺反射則正常。這是由於腦幹病灶阻斷了對側聽覺反射路徑,而同側之鐙骨反射弓仍健全之故。

約8成聽覺反射閥值異常之病患會出現耳蝸後病變,故可運用在臨床之耳鳴病患,篩檢出潛在的聽神經瘤病患、並依聽覺反射閾值報告推測並解釋核磁共振之病灶位置大小。
圖二:左耳聽神經瘤(紅箭頭)。
葉大偉醫師
專長:暈眩、耳鳴、偏頭痛
圖三:聽覺反射閾值測驗(acoustic reflex threshhold)

Related column 相關閱讀